
【時報訊】過去一年,本省的結核病(肺癆)患者人數上升,尤其是在滿地可。
麥基爾大學醫院中心呼吸科醫生兼結核病臨床服務主任艾哈邁·汗(F. Ahmad Khan)醫生指出,結核病患者人數急劇增加。據艾哈邁·汗表示,二0二四年滿地可的結核病發生率比過去十三年的平均值高出百分五十四。
「這不是波動,」他說。「這是進展的逆轉。」
本省保健部表示,過去三十年來病例數一直維持在二百至二百八十宗之間。
但這種情況已改變。
該部發言人布莉耶(M. P. Blier)表示:「二0二五年報告病例數仍然居高不下五百十六宗,發病率為每十萬人五點八宗。」
「相較之下,二0二四年的病例數為四百六十七宗,發病率為每十萬人五點二八。這些年份的病例數均高於疫情前二0一五年至二0一九年的平均病例數(二百五十四宗,發病率為每十萬人三點零六)。」
二0二五年全省共報告五百十六宗結核病病例,其中滿地可(二百一十宗)和Nunavik(一百十七)的病例數最高。
其他十一個地區也報告病例。
保健部表示,他們正在密切監測感染率較高的地區。
「例如在Nunavik地區,結核病的傳播仍然令人擔憂,我們正與Nunavik地區保健和社會服務機構(RRSSS)密切合作,監測疫情發展,」布莉耶說。
她補充到,一個省級和地方工作小組正在透過識別危機的各個方面和後續措施來應對疫情。保健部正在持續監測疫情,並與聯邦政府和各地區合作制定國家戰略。
在滿地可自二0一五年以來,大多數病例(約佔百分九十)發生在我國境外出生的人身上,而這些病例都是在國外感染。
據保健部表示,無家可歸者、拘留中心居民以及與結核病患者同住的人員感染結核病的風險更高。
長期治療
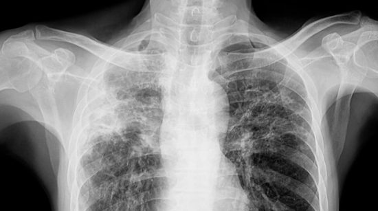
結核病是由結核分枝桿菌引起的傳染病。首次接觸這種微生物後,結核病可能迅速發展,也可能在數年後出現。
根據艾哈邁·汗醫生介紹,人們需要吸入含有結核分枝桿菌的水滴才會感染結核病,吸入含有結核分枝桿菌的空氣數小時後才會發病。
「對某些人來說,結核分枝桿菌可以在體內定植,導致我們生病並出現結核病症狀,然後透過咳嗽將細菌重新釋放到空氣中,其他人吸入後也會感染,」這位醫生說。
但他補充道,結核病的傳染性並不強「沒有必要對結核病感到恐慌」。
結核病的症狀包括持續數週的咳嗽、發燒、極度疲勞、食慾下降、盜汗和體重減輕。據保健部說,結核病需要服用多種藥物,療程數月,大多數患者只要按醫囑服藥就能康復。
然而艾哈邁·汗表示,結核病會在患者身上留下後遺症,例如肺部瘢痕或影響心臟和血管,導致患者在日常活動中呼吸困難。「這些影響可能會持續終生,」他說。
據他指出,結核病的出現和增加反映該疾病預防和檢測的結構性問題。「結核病治療資金不足會使所有人面臨風險,而不僅是那些最脆弱的群體。普及結核病治療——為所有結核病高風險人群或結核病患者支付所有費用——遠比應對疫情爆發、治療結核病住院患者和應對緊急情況要便宜得多,」他說。
在本省確診結核病後必須接受治療,然而艾哈邁·汗希望省府能增加撥款,為沒有醫療保險的人提供結核病治療。
「蒙特利爾真正體現了全球結核病與當地現實的交匯點,」他說。 “它確實觸及了移民、住房保障不足以及醫療服務獲取方面的差距等問題。”
他補充道由於結核病具有傳染性,因此這是一個關乎所有本省人的問題。


